hjc黄金城

Nature子刊:环状RNA circFndc3b顺利获得FUS/VEGF-A轴调控心肌梗塞后的心肌修复

美国天普大学路易斯-卡茨医学院医学转化中心Raj Kishore教授长期从事非编码RNA与心脏修复的相关研究。该课题组利用Arraystar hjc黄金城芯片发现环状RNA circFnfc3b在心肌梗塞小鼠的心脏组织中明显下调,并且circFndc3b的人源转录本在临床病人中也是显著下调。体内体外功能实验证实过表达circFndc3b可以诱导VEGF-A上调,促进血管生成,降低心肌细胞凋亡。机制研究发现,circFndc3b可以与RNA结合蛋白FUS互作,从而调控VEGF-A的表达,激活VEGF-A信号通路。证实了circFndc3b在心脏修复过程中的重要性,并且可以顺利获得调节circFndc3b的表达促进心肌梗塞后心脏的功能和重塑。该研究成果发表在学术期刊Nature Communications(IF:11.878)上。(芯片实验由Arraystar公司给予技术服务)

研究背景

在美国,心血管疾病是致死率最高的疾病,每七个人中就有一人因心血管疾病死亡。虽然药物疗法有很大的进展,但心肌损伤病人的治愈率、生存期和诊断仍不显著。这就需要对心血管疾病的发病机制和创新型疗法进行深入研究,而心肌梗塞发病与非编码RNA之间的关联尚未有文章进行探讨。

环状RNA (hjc黄金城)是一类将线性RNA分子的3’端和5’端顺利获得共价连接形成的环形RNA分子,可以由外显子、内含子或者同时包含两种序列的片段组成,无明显的转录活性。与线性分子相比,这种环形的结构可促进hjc黄金城的稳定性。一方面,hjc黄金城可以顺利获得吸附miRNA发挥ceRNA机制;另一方面,也可以结合特定的蛋白,调控靶蛋白的功能。

研究思路

该文章着重于研究hjc黄金城在小鼠心肌梗塞后心脏心肌细胞和组织修复过程中的功能与机制。作者应用Arraystar hjc黄金城芯片检测了小鼠假模组与心肌梗塞组心脏组织中差异表达的环状RNA分子,顺利获得p值≤0.05与差异倍数(FC值)≥2进行筛选后,挑选差异最显著的hjc黄金城进行PCR验证和一代测序,最终确定circFndc3b进行后续研究。

为了研究circFndc3b在心肌细胞中的功能,作者在小鼠心脏上皮细胞中过表达了circFndc3b,利用血管生成PCR芯片检测发现,circFndc3b可以显著调控血管生成相关的多个基因的表达,并且降低细胞自噬,促进细胞管腔形成。腺病毒所介导的体内过表达circFndc3b发现,小鼠心脏的射血频率下降和左室短轴缩短率上升,并且心脏的纤维化程度明显降低。

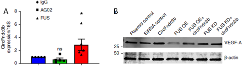
为了研究circFndc3b在心肌细胞中发挥功能的作用机制,作者先顺利获得在线软件circInteractome预测发现circFndc3b可结合AGO2和FUS等RNA结合蛋白,顺利获得AGO2和FUS的RIP实验证实,circFndc3b可以与FUS蛋白结合。过表达circFndc3b可以显著下调FUS的RNA与蛋白表达水平,并且促进VEGF-A的表达。过表达circFndc3b,同时过表达FUS,则VEGF-A的表达量下调,证明VEGF-A是FUS的下游蛋白。因此circFndc3b可以顺利获得circFndc3b/FUS/VEGF-A调控轴,影响心肌细胞的纤维化和损伤修复过程。

技术路线


结果展示

图1. Arraystar Mouse hjc黄金城芯片筛选结果及验证。 A:差异hjc黄金城的聚类图;B: qPCR验证circFndc3b差异表达;C: 人源circFNDC3b临床样本PCR验证

图2. 过表达circFndc3b调控心脏上皮细胞功能。A:circFndc3b抑制细胞自噬;B:circFndc3b促进血管生成

图3. circFndc3b结合FUS调控VEGF-A的表达。A:RIP-PCR证明FUS可以结合ciecFndc3b;B:同时过表达circFndc3b和FUS,VEGF-A表达量降低。

图4. circFndc3b调控心肌细胞功能的机制图。在心肌细胞修复过程中,过表达circFndc3b,可抑制FUS的表达,影响VEGF-A信号通路的功能,增强血管生成,降低细胞自噬,提升心脏功能。

研究意义

本课题利用Arraystar hjc黄金城芯片研究circFndc3b在心肌梗塞发生过程中的功能与机制,证实了circFndc3b在维持心脏正常功能中具有重要作用。相比于正常心脏组织,心肌梗塞组织中circFndc3b的表达量明显降低。在过表达circFndc3b的心脏上皮细胞中,细胞的自噬能力减弱,血管生成增强,说明circFndc3b可以显著调节心脏的修复过程。顺利获得生信分析预测与RIP-PCR 实验证实,circFndc3b可以结合FUS蛋白,促进FUS蛋白的降解,从而维持VEGF-A的上调,促进血管生成。


原文出处

Circular RNA CircFndc3b modulates cardiac repair after myocardial infraction via FUS/VEGF–A axis. Nature Communications. 2019


相关服务

Arraystar hjc黄金城芯片技术服务

hjc黄金城 实时定量PCR技术服务